Leucemie Mieloida Acuta Speranta De Viata

Leucemia mieloida cronica este o forma rara de cancer al sangelui si al maduvei osoase asociata unei anomalii cromozomiale cunoscute sub numele de cromozomul philadelphia rezultatul mutatiei genetice a cromozomilor 9 si 22.
Leucemie mieloida acuta speranta de viata. Tratamentul este stabilit pe tipul de leucemie stadiul bolii vârsta pe care o are pacientul dar şi de starea generală de sănătate. Maria veronica teleanu. Leucemie acuta limfoblastica leucemie acuta mieloida leucemie mieloida cronica. Deși mulți își pierd speranța vă prezentăm povestea unei luptătoare.
Aspiratia de maduva osoasa si biopsia sunt necesare pentru a determina tipul de leucemie in urmatoarele cazuri. Patologia se manifesta cu precadere dupa varsta de 55 de ani si. Cel mai adesea boala apare la oamenii de vârstă mijlocie şi înaintată diagnosticul fiind pus frecvent între 55 şi 60 de ani. Leucemia mieloida acuta mai este numita leucemia mielogena leucemia mieloblastica acuta leucemia granulocitara acuta si leucemia nonlimfocitara acuta.
în românia peste 10 000 de oameni suferă de forme rare de cancer. Una două persoane din 100 000 se îmbolnăvesc anual de leucemie mieloidă cronică. Leucemia mieloida acuta apare atat la copii cat si la adulti. Sunt patru tipuri principale de leucemie.
Leucemia mieloida cronica afecteaza in general adultii. Ghidul de fata a fost tradus din limba engleza de dr. Limfoblastică acută este frecventă la copii dar poate apărea şi la adulţi mieloidă acută limfoido cronică afectează în special persoanele de peste 50 de ani şi mieloidă cronică apare în. Leucemia mieloida este forma de leucemie caracterizata prin aparitia anormala in sange a mielocitelor.
Adriana covaciu a fost diagnosticată în urmă cu opt ani cu leucemie mieloidă cronică dar a ales să privească boala. Acest tip de cancer se agraveaza rapid daca nu este tratat. Aceasta este cea mai comuna intalnita forma de leucemie. Aspiratia nu este necesara in cazul leucemiei cronice limfoide deoarece testele de sange sunt suficiente.
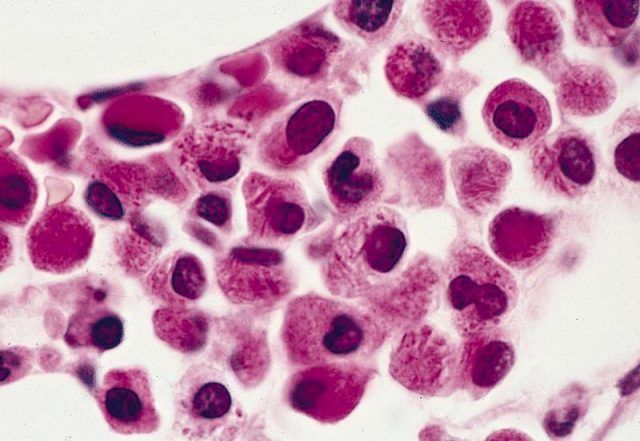
Leucemia mieloida acuta este un tip de cancer al sangelui si al maduvei osoase. Va veti intreba de ce mi se intampla mie. Aflarea diagnosticului de leucemie acuta limfoblastica lal produce adesea un soc emotional puternic si este posibil sa va simtiti neputincios si disperat. Forma acuta a leucemiei mieloide este astazi cea mai frecventa forma de leucemie acuta la adulti iar forma cronica a ei are o pondere de aproximativ 14 din numarul cazurilor de leucemie intalnite la adulti.
Rata de supravietuire pe 5 ani este de 26 9 in caz de leucemie mieloida acuta.